En el 2009, Twitter era una plataforma plural, abierta y llena de opiniones. También, fue el lugar correcto que encontré para expresar a viva voz y sin ningún tipo de restricción, mi activismo feminista. Era muy inexperta, estaba convencida que el ataque y la crítica directa era la manera de crear conciencia sobre todo tipo... Leer más →
¿Te preocupa que la vacuna anti-COVID afecte tu fertilidad o tus ovarios?
Una investigación que se ha llevado a cabo en el Hospital Sheba, de Tel HaShomer en Israel, brinda respuesta a un tema preocupante a mujeres en todo el mundo respecto a si la vacuna contra el coronavirus afecta la fertilidad femenina. El estudio señala que el antídoto no tiene incidencia negativa sobre la función ovárica de la mujer, ha... Leer más →
Yo soy yo y mi toxoplasma – The Conversation
La toxoplasmosis es una enfermedad peligrosa durante el embarazo, pero son poco conocidos por la población general sus efectos fuera de esta fase fisiológica de las mujeres y podría ser más relevante de lo que se piensa.
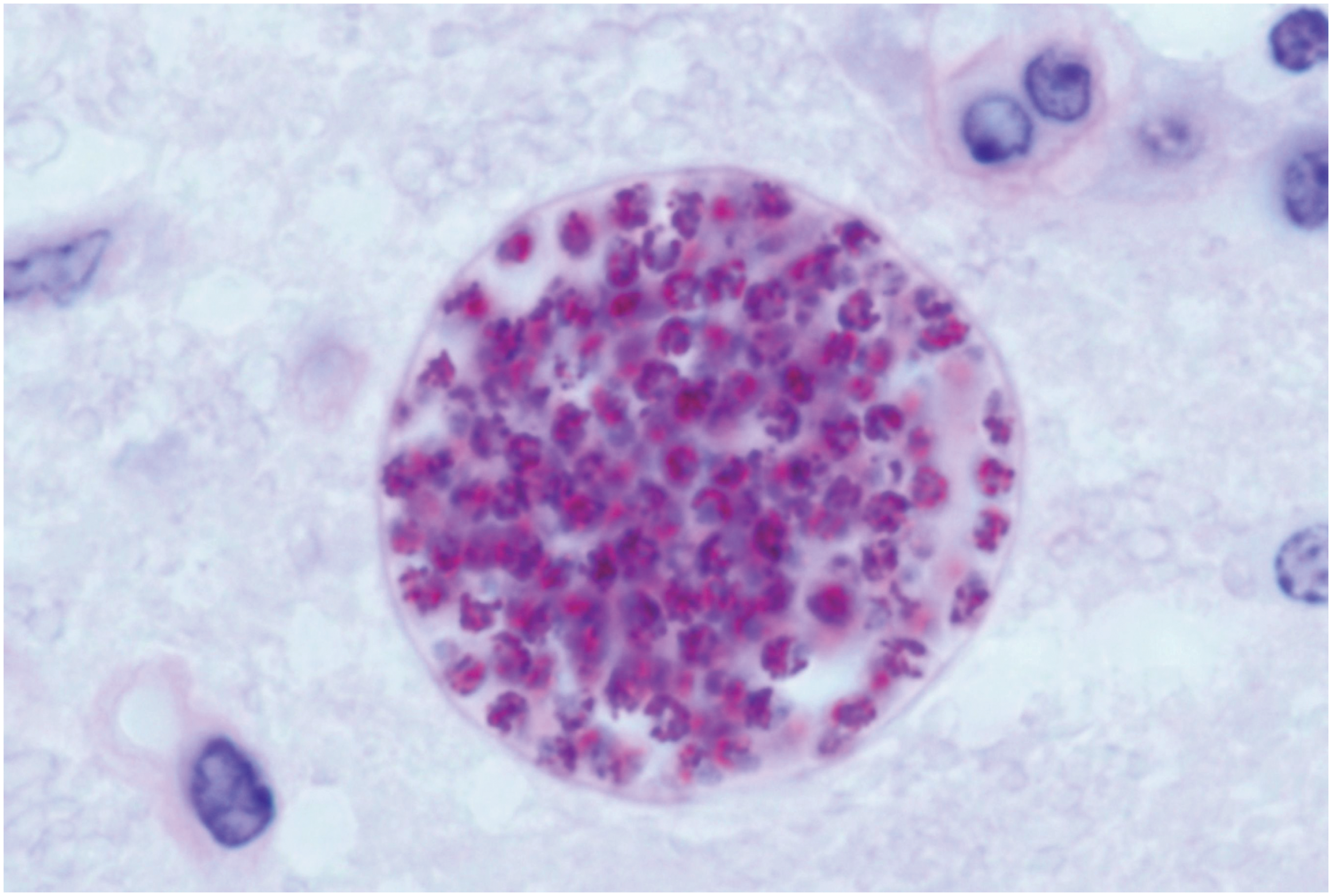
Una fantasía recurrente de la ciencia ficción es la implantación de diminutos elementos en los cerebros de las personas, que servirían para controlar y dirigir nuestras acciones y emociones. Vaya por donde vaya el desarrollo tecnológico en ese sentido, en la naturaleza hace millones de años que esos trucos están inventados. Parásitos de diferentes tipos son capaces de modificar el comportamiento de los organismos que los alojan, que dejan de actuar por la conservación de los genes propios para convertirse en promotores de los ajenos.
Toxoplasma gondii es uno de los parásitos más frecuentes en humanos. Vive alojado en aproximadamente un tercio de las personas, tanto a nivel global como en Europa. Aun así, la mayoría solo sabemos de su existencia durante los embarazos, cuando la mujer gestante recibe indicaciones sobre si puede comer jamón u otras carnes crudas. Pero todos los indicios apuntan a que su papel es muy…
Ver la entrada original 14 palabras más
Vacuna contra el cáncer: el caso del virus del papiloma humano
Las vacunas VPH son muy eficaces y eficientes, y no tienen efectos secundarios graves demostrables después de observar a más de 120 millones de personas vacunadas durante varios años. Origen: Vacuna contra el cáncer: el caso del virus del papiloma humano
Vamos a contar científicas. De Isabel Zendal a Katalin Kariko, haremos un recorrido por la historia de las vacunas y conoceremos historias asombrosas gracias a las cuales se salvaron millones de vidas. — 11de Febrero
Taller. AMPA La Salle Tarragona, Tarragona. 10 de febrero. Dirigido a: Para centros educativos. PrimariaHora comienzo: 17:30Hora finalización: 18:30Dirección: Avinguda dels Països Catalans, s/n, 43007, Tarragona, CataluñaReserva: Ya tenemos público para esta actividadOrganiza: AMPA La Salle TarragonaEmail de contacto: romero.susana@gmail.comVamos a contar científicas. De Isabel Zendal a Katalin Kariko, haremos un recorrido por la historia de... Leer más →








